Comprehensive Orthopedic Care in South Delhi
From joint preservation to advanced surgical care — clear plans, evidence-led decisions.
Surgical Solutions
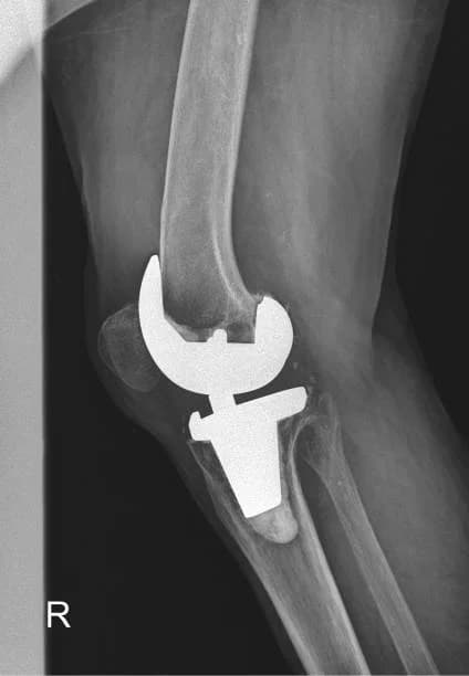
KneeKnee Replacement in South Delhi
Long-standing knee pain that limits walking or sleep can make you worry surgery is the only option. At our CR Park clinic, knee replacement is considered only when daily function is clearly limited and non-surgical care no longer helps. Most people return to walking with structured rehab. If you are looking for knee replacement in South Delhi, we explain timing and recovery in plain language. Clinic in CR Park; patients visit us from GK, Kalkaji, Nehru Place, Okhla and across South Delhi. WhatsApp us if you are unsure about timing.
ArthroscopyArthroscopy & Sports Injuries in South Delhi
If you have been told arthroscopy is needed and are unsure why, it can feel confusing. Arthroscopy is a minimally invasive tool and is considered only when symptoms, OPD exam, and scans point to the same problem. For arthroscopy in South Delhi, our CR Park clinic explains if it is really needed and what it can and cannot fix. Not sure if arthroscopy is really needed? WhatsApp us — we’ll guide you. Clinic in CR Park; patients visit us from GK, Kalkaji, Nehru Place, Okhla and across South Delhi.
FractureFracture & Trauma Care in South Delhi
After a fall, accident, or sudden impact, pain and swelling can make it hard to tell if it’s a fracture or a bad sprain. In South Delhi, our fracture care starts with a clear exam and careful X-ray review. Not all injuries are fractures, and not all fractures need surgery. Some injuries need hospital care, others can be safely seen in OPD. Our clinic in CR Park sees patients from GK, Kalkaji, Nehru Place, Okhla and across South Delhi. Not sure if this injury needs urgent care? WhatsApp us — we’ll guide you.
Joint Preservation & Care
OrthopedicOrthopedic OPD Consultation
Ongoing knee, shoulder, or back pain, swelling that comes and goes, night pain, or a sports niggle can make you unsure what to do next. Our Orthopedic OPD Consultation in CR Park helps you understand the cause and tells you whether you need imaging, rehab, or another step, with same-day diagnostics when needed. Bring old reports or scans if you have them. Clinic in CR Park; patients visit us from GK, Kalkaji, Nehru Place, Okhla and across South Delhi. Not sure what’s going on? WhatsApp us — we’ll guide you.
KneeKnee & Meniscus Care
Knee pain while walking or on stairs, swelling after activity, clicking or catching, pain after a twist, or a fear that this means surgery can be stressful. Our knee and meniscus evaluation focuses on clear diagnosis and conservative care first. Many meniscus and knee problems improve without surgery when assessed early. Clinic in CR Park; patients visit us from GK, Kalkaji, Nehru Place, Okhla and across South Delhi. Not sure if this needs surgery? WhatsApp us — we’ll guide you.
ShoulderShoulder & Upper Limb Care in South Delhi
Shoulder pain that wakes you at night or makes it hard to lift the arm, reach overhead, or behind the back can feel confusing — is it frozen shoulder or a tendon problem? If you are looking for shoulder pain care in South Delhi, our CR Park clinic focuses on guided care that often avoids surgery. For shoulder pain in CR Park, patients visit us from GK, Kalkaji, Nehru Place, Okhla and across South Delhi. Not sure if this is frozen shoulder or a tendon problem? WhatsApp us — we’ll guide you.
SpineSpine & Nerve Pain Care in South Delhi
Back or neck pain that shoots into the leg or arm, with tingling or pins-and-needles, can feel worrying. If you are looking for spine pain care in South Delhi, our CR Park clinic focuses on clear assessment and calm guidance so you know if this is muscle strain or nerve irritation. Most spine and nerve pain improves without surgery when managed well. Not sure if this is a slip disc or nerve irritation? WhatsApp us — we’ll guide you. Clinic in CR Park; patients visit us from GK, Kalkaji, Nehru Place, Okhla and across South Delhi.
HipHip & Pelvic Disorders in South Delhi
Hip or groin pain while walking, standing, or getting up from a chair can feel confusing. Pain can travel to the thigh, buttock, or lower back, with stiffness after rest and a limp that changes your gait. If you are looking for hip pain care in South Delhi, our CR Park clinic first clarifies whether the source is the hip joint, spine, or pelvic structures. Many hip and pelvic pain problems improve with the right diagnosis and guided care. Not sure if this pain is from the hip, back, or pelvis? WhatsApp us — we’ll guide you. Clinic in CR Park; patients visit us from GK, Kalkaji, Nehru Place, Okhla and across South Delhi.
SportsSports Injury Rehabilitation in South Delhi
Pain after sport, gym, running, or daily activity can return when you restart, and it’s easy to fear reinjury or get confused by generic exercise plans. We offer sports injury rehabilitation in South Delhi with structured, stage-based rehab that prioritises correct progression over speed and is tailored to your activity. Not sure when or how to get back to activity? WhatsApp us — we’ll guide you. Clinic in CR Park; patients visit us from GK, Kalkaji, Nehru Place, Okhla and across South Delhi.
OrthopedicOrthopedic X-ray & Diagnostics
Confused by scan advice, worried about radiation or cost, or unsure what a report means? For orthopedic concerns, diagnostics are used only when they guide treatment after the clinical exam. Clinic in CR Park; patients visit us from GK, Kalkaji, Nehru Place, Okhla and across South Delhi. Same-day X-ray can usually be arranged if needed, with a same-day report when possible; bring old reports if you have them for a report review. Not sure if you need an X-ray or MRI? WhatsApp us and we’ll guide you.
PhysiotherapyPhysiotherapy & Rehab
Stiffness, pain with movement, slow recovery after injury or surgery, or fear of pain can make exercises confusing. We assess you first and use imaging only if it changes the plan. We focus on guided, supervised recovery—doing the right movements correctly—so you return to normal movement, not just reduce pain. Sessions are usually within an hour, and progress is reviewed regularly. If you are looking for physiotherapy in South Delhi, our clinic is in CR Park; patients visit us from GK, Kalkaji, Nehru Place, Okhla and across South Delhi. WhatsApp us if you are unsure which exercises are safe.
